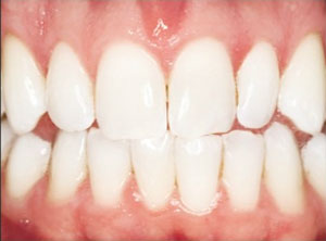
Why Should You Use Teeth Whitening?
Teeth whitening is a safe, quick and inexpensive way to enhance your appearance and the beauty of your smile. Our dentist offers the top rated Opalesence at home teeth whitening system in Exton, Pennsylvania, to refresh the appearance of your smile. Call us today at 610-524-0115 and schedule an appointment with Dr. Andrew Hoffman.
Whitening can be utilized to correct numerous tooth discolorations, which may have been caused by staining, aging, chemical damage to teeth, excessive fluoride, food and beverages consumed (like coffee, tea and soda), tobacco use, or improper oral hygiene. In cases of extreme tooth discoloration, crowns or veneers may be the only option.
Because of the conservative cost of whitening treatment, it is most often worth trying. You also have the option of whitening only your upper teeth or both the upper and lower teeth, depending on the visibility of your teeth when you talk and smile.
Key Benefits of Teeth Whitening
- Corrects brown, yellow and mottled tooth staining
- Works on anyone at least 13 years of age
- Is a near permanent solution for a dull smile, restoring brightness and creating a newly desired shade or color
How Does Teeth Whitening Work?
The active ingredient in most teeth whiteners is some form of peroxide. Oxygen molecules from the peroxide penetrate the tooth and break down discolored molecules. Because the oxygen molecules spread throughout the entire tooth, it is not necessary for the whitening gel to touch every part of the tooth for the entire tooth to be whitened.
Opalescence Whitening Procedure
Opalescence is our at-home teeth whitening system. It is highly reputable and consistently provides very satisfactory results. Opalescence has won numerous industry awards and is accredited by the American Dental Association®. The whitening procedure is carried out by first taking impressions of your teeth in order for the laboratory to fabricate your custom-fit whitneing trays.
At a subsequent visit, we will ensure the comfortable fit of your lightweight, clear, plastic trays and provide you with the whitening gel to be placed in your trays. At this visit, Dr. Hoffman will do a shade assessment and will also instruct you as to the proper use of your trays and the whitening gel.
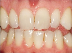
Typically, the trays with the whitening gel will be worn each day for about 30 minutes for approximately seven to 10 days. In most cases, significant, and sometimes dramatic, whitening will take place in this time period without altering primary tooth structure or existing dental work in any way.
In the future, your teeth may darken. If this occurs, only an occasional treatment or touch-up will be necessary to maintain your results. Opalescence whitening is a safe system that uses the latest in whitening technology, resulting in improvements for yellowing, aging or stained teeth.
Success Rates
In general, teeth whitening is successful in at least 90% of patients, though it may not be an option for everyone. Consider whitening if your teeth are darkened from age, coffee, tea or smoking. Teeth that appear yellow, brown or orange respond better to whitening. Other types of gray stains, caused by fluorosis, smoking or tetracycline are lightened, but results are not as dramatic and take longer to achieve. It is important to remember that crowns or veneers may be more appropriate for severely stained teeth.
Teeth Whitening Considerations
Teeth whitening will not affect fillings, veneers, crowns and bridges; however, these restorations can be replaced to match the results of your whitening.
Over-the-counter whitening products, such as tooth whitening strips, brush-on gels and toothpastes, are available for purchase at drug stores and pharmacies but are not supervised by your dentist. These products cannot compare to the predictability and results of professionally provided whitening systems. Additionally, these products are much less powerful and may not be strong enough to effectively whiten your teeth. They can take many weeks or months to maybe whiten your teeth a shade or two, and many do not work at all. Since these over-the-counter products can harm the teeth and gums and have lower success rates, it is better to use the whitening system that our dentist recommends.
Frequently Asked Questions About Teeth Whitening
WHAT IS TEETH WHITENING?
Whitening is a process using a concentrated percentage of hydrogen peroxide (or its derivative carbamide peroxide), which is suspended in gel that lightens discolored enamel.
SHOULD I HAVE MY TEETH CLEANED PRIOR TO WHITENING?
Yes! This is highly recommended. By removing any existing stains, plaque and calculus from the teeth, the whitening gel is significantly more effective.
IS TEETH WHITENING SAFE?
Yes, research and clinical studies indicate that whitening teeth under the supervision of a dentist is safe. In fact, many dentists consider whitening the safest cosmetic dental procedure available. Keep in mind that it is not recommended for children under 13 years of age or women who are pregnant or lactating.
WILL WHITENING WEAKEN MY TEETH?
No! Whitening will not weaken your teeth. Opalescence whitening gel includes PF (potassium nitrate and fluoride). Potassium nitrate has been shown to help reduce sensitivity. Fluoride has been shown to help reduce caries and strengthen enamel. Together, they help to improve the overall health of the teeth.
ARE THERE ANY SIDE EFFECTS?
There is no pain associated with this treatment. Some people may experience temporary increased tooth sensitivity to cold during treatment. Sensitivity does not mean damage has been caused to your teeth. Cold sensitivity during treatment is temporary and will dissipate within one to three days after interruption or completion of the treatment. To help prevent sensitivity, Dr. Hoffman will administer a chairside fluoride gel treatment just prior to whitening your teeth.
HOW LONG DO THE RESULTS LAST?
By following some simple post-whitening instructions, your teeth will be lighter than they were before. We recommend brushing, flossing and rinsing twice daily. Your results will be much more long-term than over-the-counter products and systems. Whitening results typically last several years. Occasionally, a touch-up may be required because your teeth can darken, but this also depends on personal habits. For example, those who smoke or drink more coffee or tea will need touch-ups more often. If you require more whitening gel for any touch-ups, it is available through our office.
LINK:
For more information concerning whitening treatment go to https://www.opalescence.com (Opalescence Tooth Whitening Systems).
